Case vignette
A 74yo F w/h/o DM, alcoholism p/w 6d worsening productive cough, fever, SOB, and L sided CP. She was treated for community acquired pneumonia 2wks ago for 5d, which seemed to help symptoms.
HR 110, BP 100/60, T 37.9, RR 24, SpO2 91% on RA
Ill appearing elderly female who is dyspneic. Decreased breath sounds and crackles LLL, diffuse ronchi bilateral lungs.
What do you see?
CP9 CXR: a L sided effusion with variable density. No obvious pneumothorax or R sided opacities.
What do you do next?
You suspect this is not a simple effusion and want to better characterize it. You quickly obtain the below clips using POCUS.
What do you see?
CP9 US1: inferior to lung tissue, a consolidation surrounded by effusion.
CP9 US2: another view of consolidation inferior to lung tissue, surrounded by effusion.
What do you do next?
You diagnose an empyema and consult Interventional Radiology to discuss possible operative drainage with fibrinolysis. Meanwhile, you obtain blood cultures and initiate Zosyn, recognizing that Augmentin might be appropriate in a less ill appearing patient. You order a CT to better characterize any loculations in the empyema and assist with IR's operative planning.
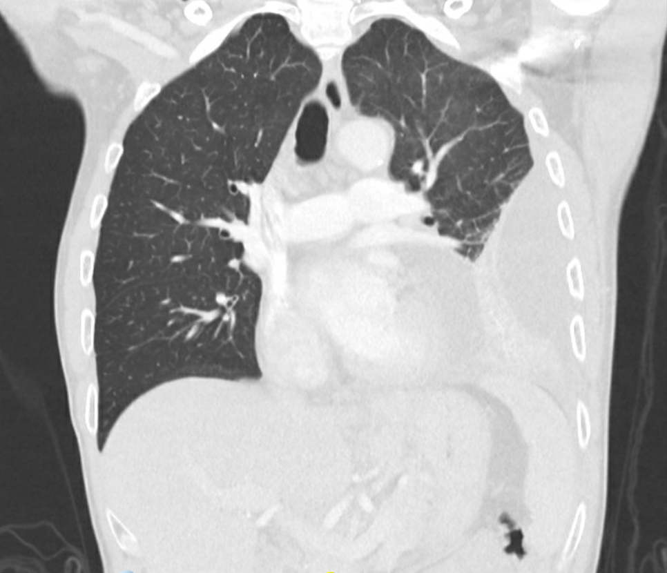
CP9 CT: CT confirms consolidation surrounded by effusion with multiple loculations (not easily seen above), consistent with your diagnosis.
Teaching points. In patients with cardiopulmonary complaints, POCUS can rapidly narrow/inform your differential and guide further tests and treatment. In this case, remember to consider empyema in patients with recurrent pneumonia, not responding to antibiotics, or with suspicion of parapneumonic effusion (a pleural fluid collection secondary to pneumonia; if this contains pus, it is considered an empyema, and these can develop fibrous loculations). With recent changes to IDSA guidelines for pneumonia treatment, anaerobic coverage is now only required for empyemas (aspiration pneumonia alone no longer qualifies). Empyemas also often require operative drainage for successful source control, which may involve fibrinolysis to break up loculations.
Residents/staff: Dr. Julia Palmer
LLL Pneumonia + Empyema
 
            
 
            